Hours by Appointment
  • Hours of operation Monday to Thursday 7:30-9:00, Friday 7:30- 6:00, Saturday 8:00-2:00.
Dental Emergencies
If you are experiencing a DENTAL emergency, during regular business hours, Please call (781) 235 4321

Gallery

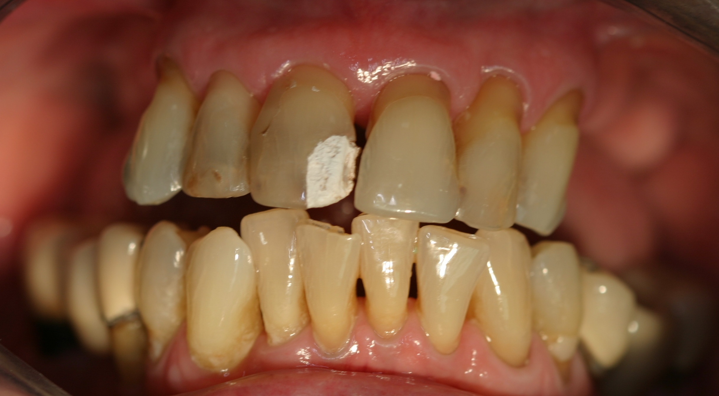
Custom made crown to allow cleaning of the defective tooth:
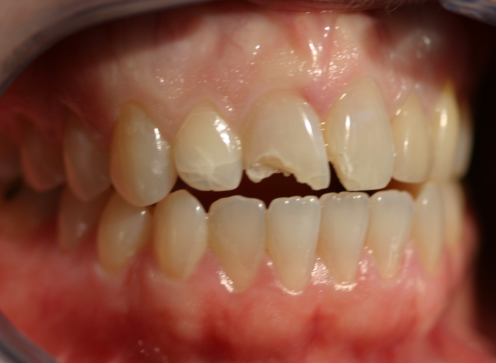
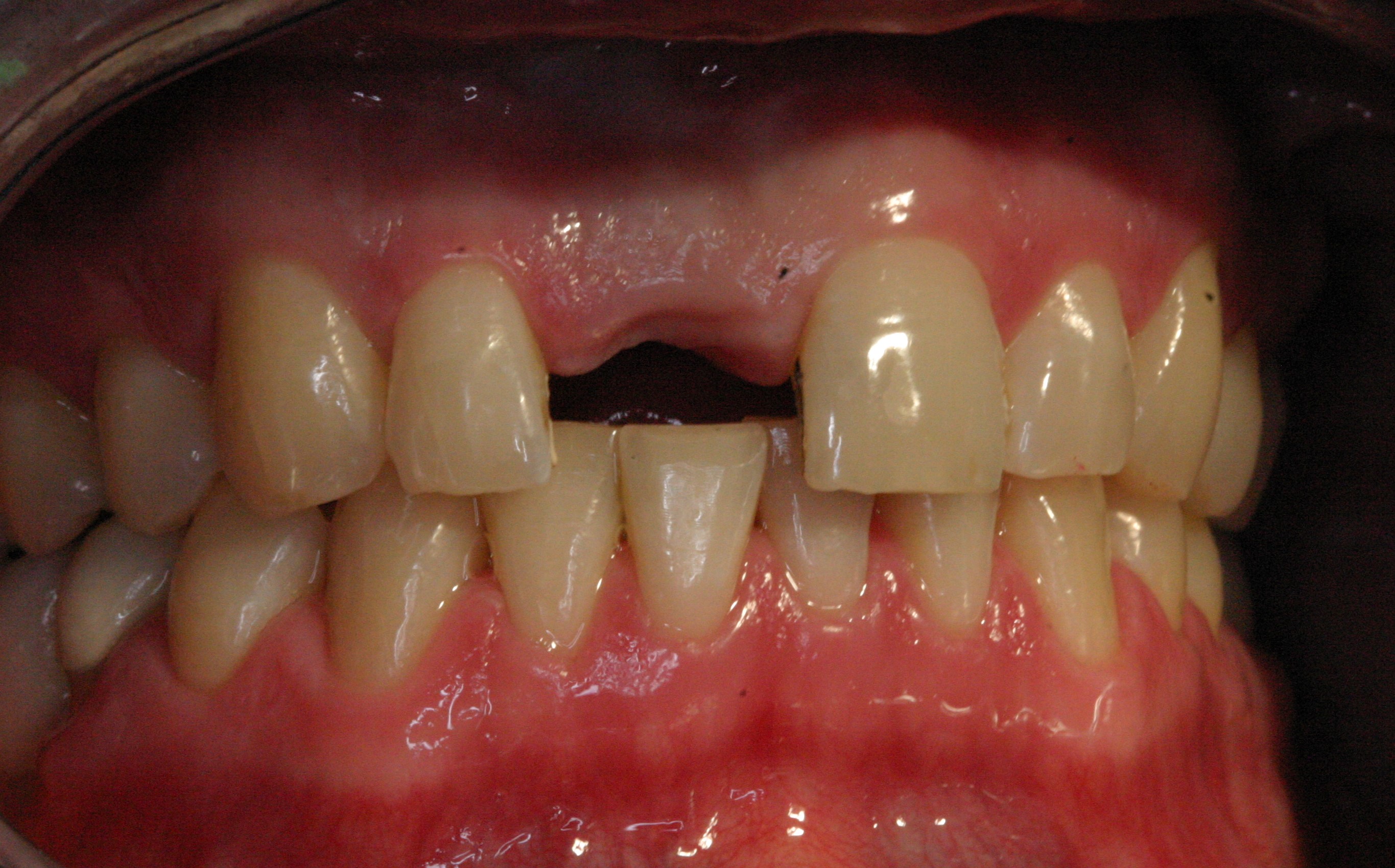
Trauma:
Missing:
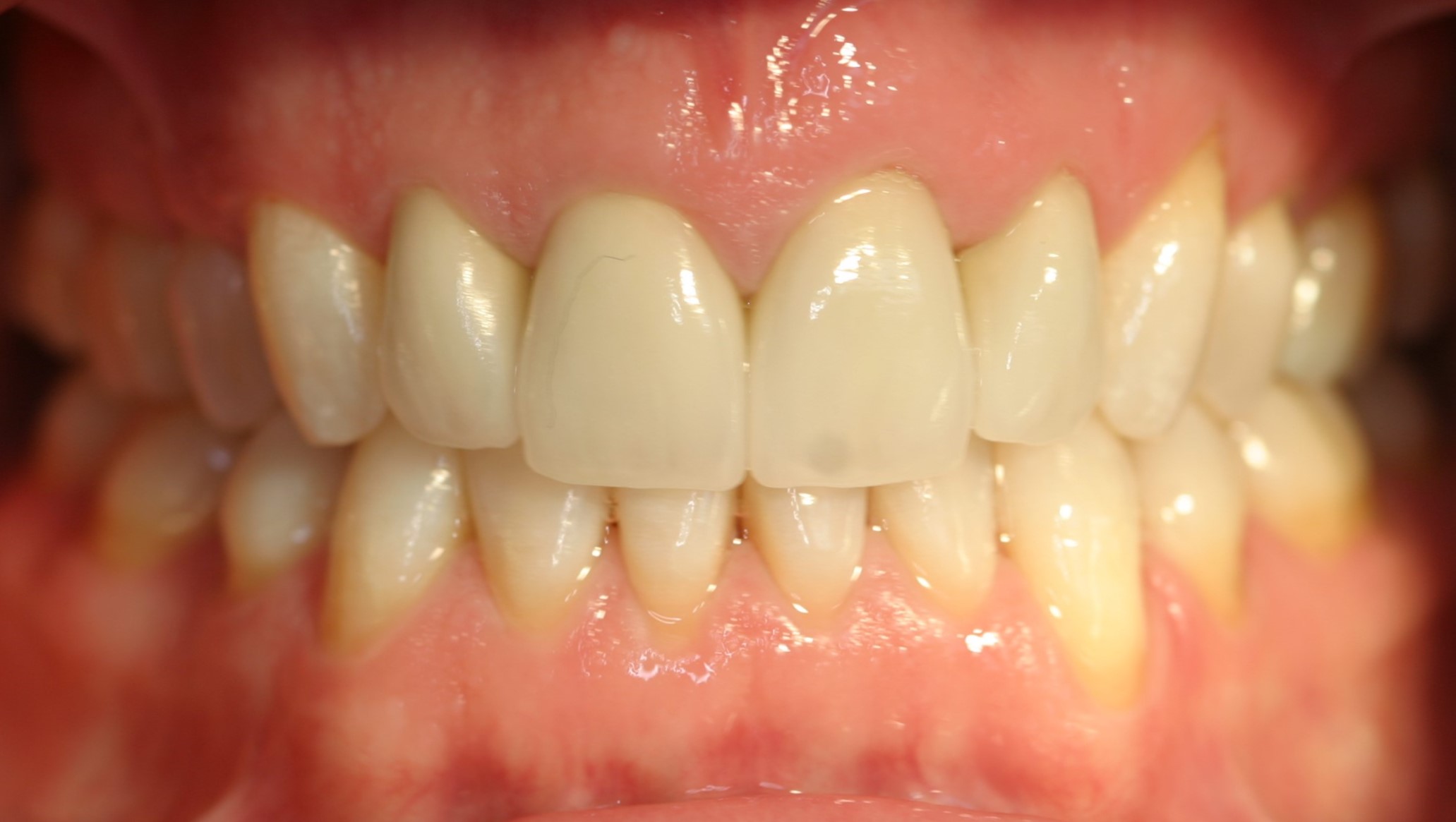
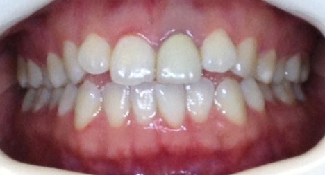
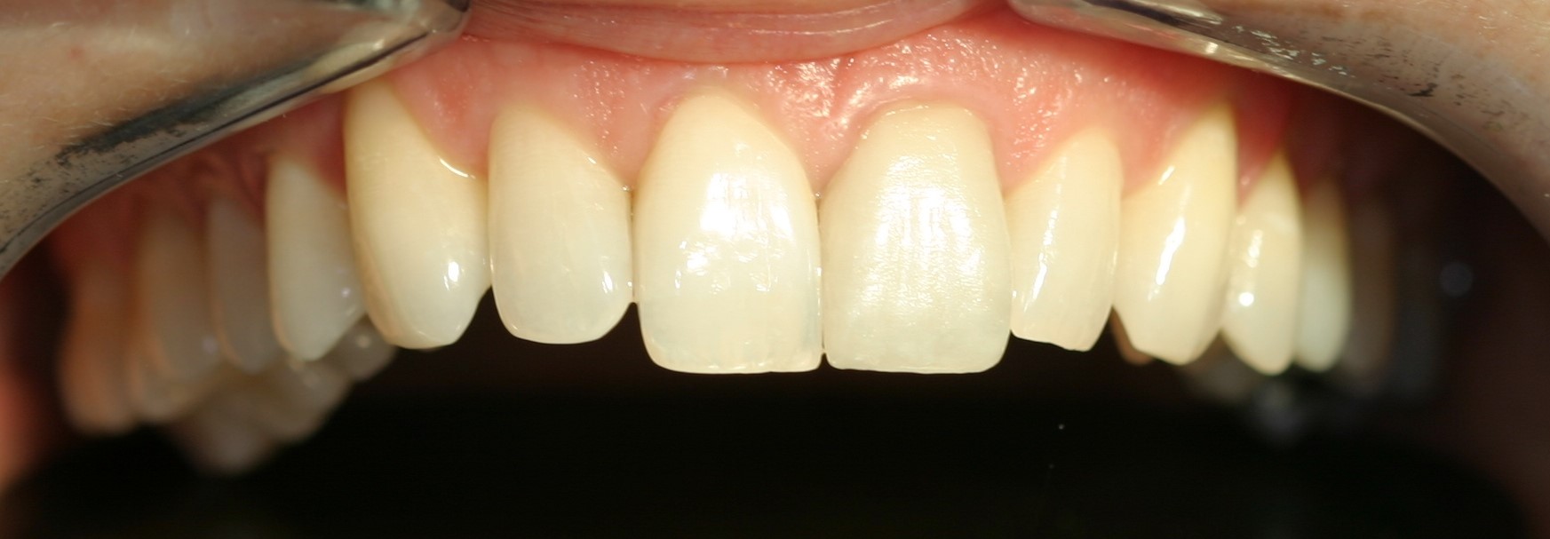
Straight and Esthetic Teeth:
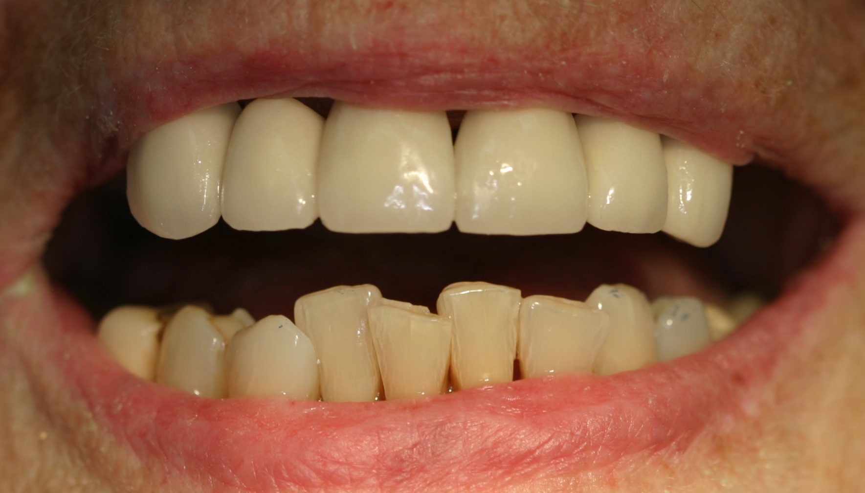
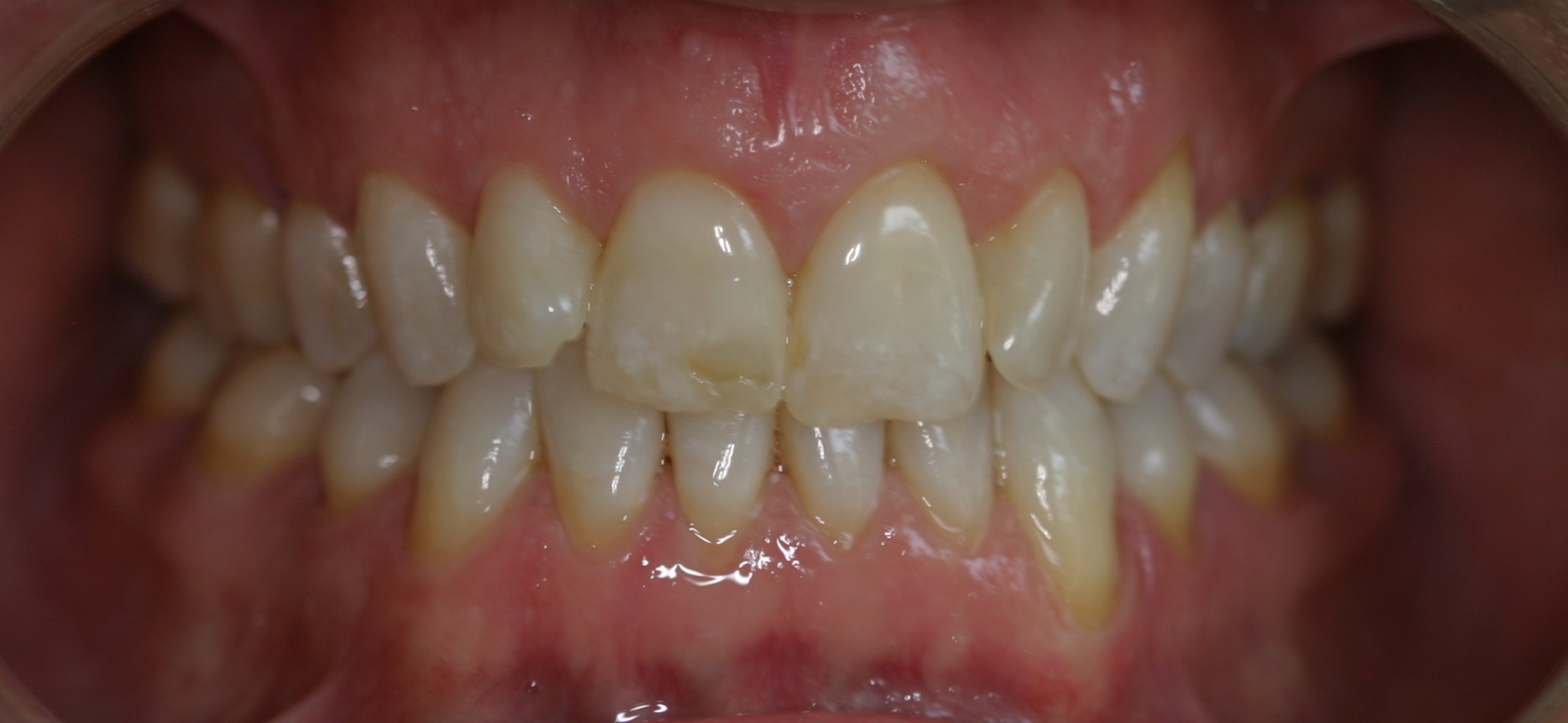
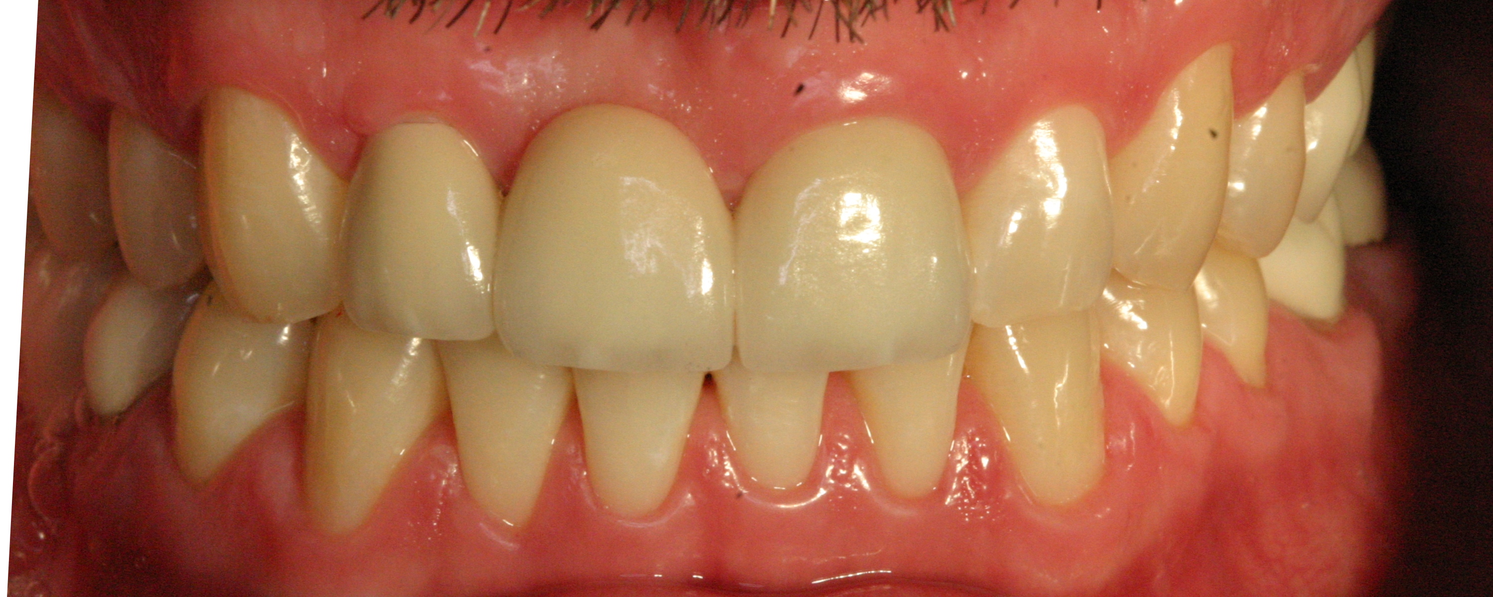
Restoring broken down teeth due to age:
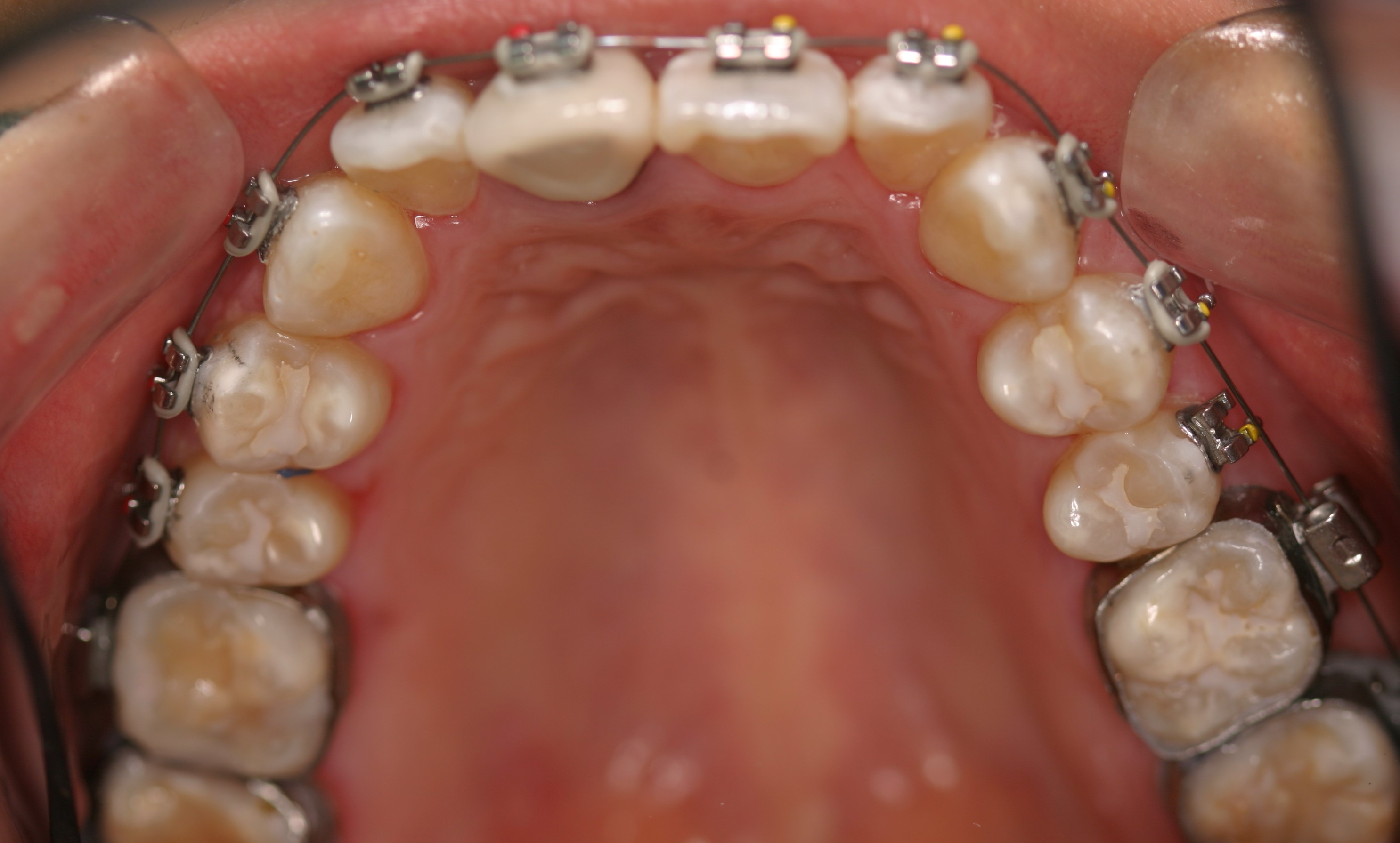
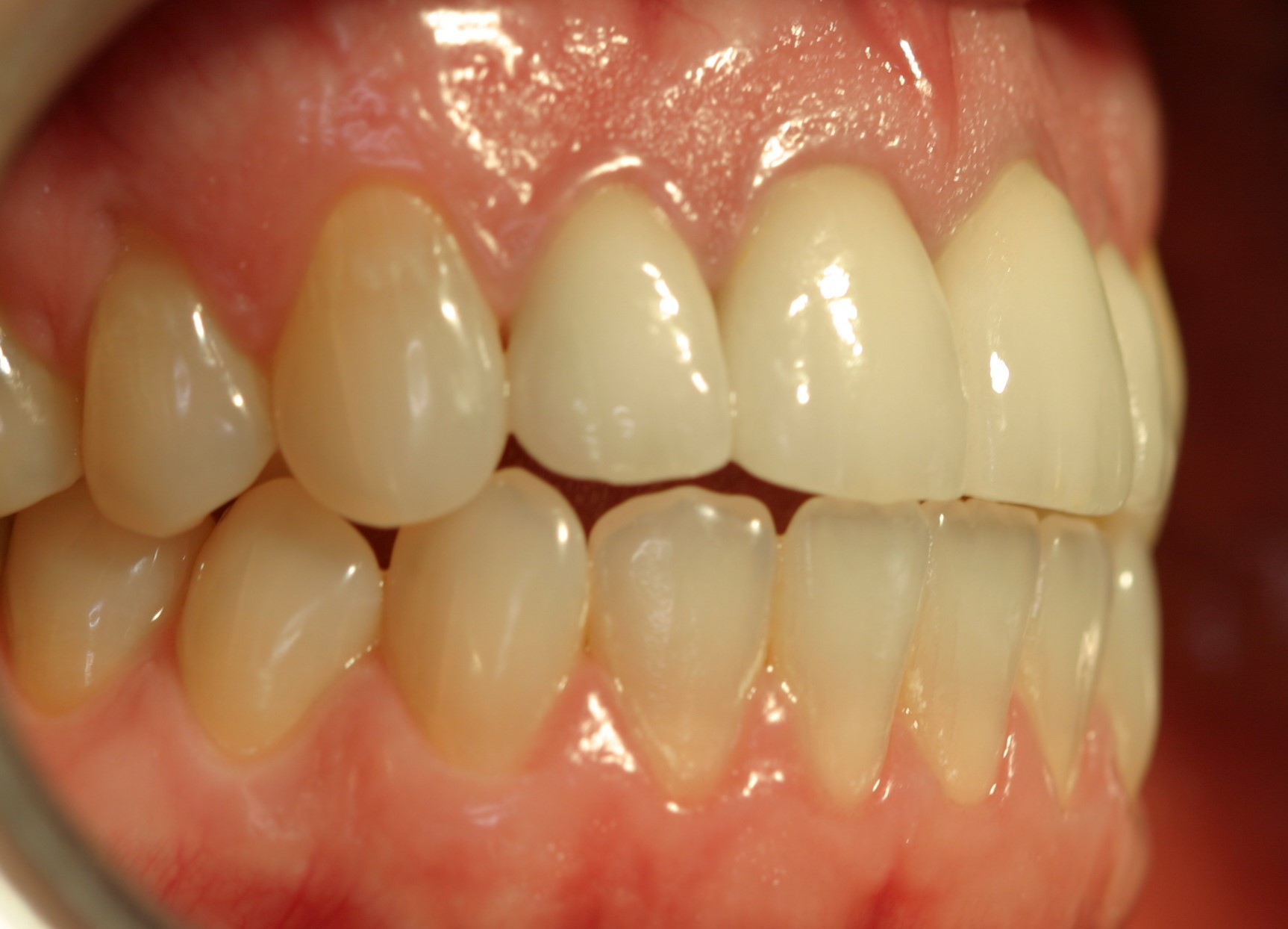
Braces: Before and After
Periodontal surgery:
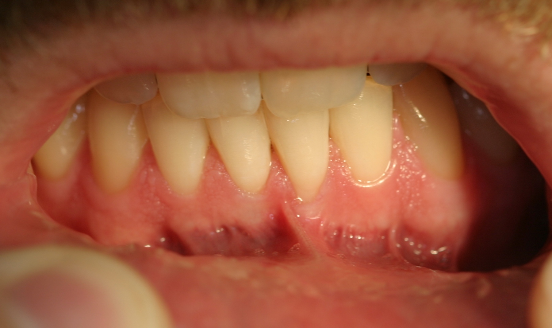
Preventing premature tooth Loss by Frenotomy of the lip muscles pulling on the supporting Gum